นิ้วโป้งเท้าเอียง เกิดจากอะไรกันนะ ?
นิ้วโป้งเท้าเอียง ทำไมถึงต้องเอียงกันด้วย เพราะว่า เท้าเป็นส่วนที่สำคัญในการรับน้ำหนัก ทั้งการเคลื่อนไหวรับแรงหนักเบาเวลาเดินหรือวิ่ง ซึ่งหากเท้าหรือนิ้วเท้ามีการผิดรูปไปจากเดิม อาจทำให้จุดศูนย์ถ่วงของน้ำหนักตัวที่ตกลงมาบนเท้านั้นผิดไป ทำให้มีการใช้แรงจากส่วนอื่นๆ หรือการผิดรูปของส่วนอื่นมาทดแทนการเคลื่อนไหวได้ วันนี้เราจะมาดูกันว่าถ้าหากนิ้วโป้งเท้าผิดรูปไป จะทำให้เกิดอะไรขึ้นบ้าง
ภาวะนิ้วโป้งเท้าเอียง (Bunion หรือ Hallux valgus) เป็นภาวะผิดปกติของข้อตรงโคนนิ้วโป้งเท้าเนื่องจากเมื่อนิ้วโป้งเท้าถูกเบียดให้เกออกด้านนอก ทำให้กระดูกตรงโคนนิ้วปูดออกมา และเมื่อนิ้วหัวแม่เท้าเกออกทำให้เยื่อหุ้มข้อทางด้านใน (medial capsule) ถูกดึงยืดออก ส่วนเอ็นกล้ามเนื้อในการหนีบนิ้วเท้า (adductor hallucis) หดสั้น นอกจากนั้นอาจทำให้เส้นประสาท medial dorsal cutaneous ได้รับบาดเจ็บจากการถูกดึงรั้ง

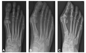
รูป x-ray แสดงภาวะนิ้วหัวแม่โป้งเท้าเก (A) นิ้วเท้าเกระดับน้อย (B) นิ้วเท้าเกระดับกลาง (C) นิ้วเท้าเกระดับมาก
สาเหตุภาวะนิ้วโป้งเท้าเอียง
จากพันธุกรรม
ผู้ป่วยที่มีโรคที่ทำให้เนื้อเยื่อรอบข้อไม่มั่นคง เช่น โรคข้ออักเสบ (Rheumatoid arthritis)
การใส่รองเท้าส้นสูงและรองเท้าหน้าแคบ
อาการและอาการแสดงภาวะนิ้วโป้งเท้าเอียง
- มีปุ่มนูนบริเวณโคนนิ้วหัวแม่เท้าด้านใน
- ข้อนิ้วหัวแม่เท้าที่นูนเสียดสีกับรองเท้าทำให้เกิดการหนาตัวและการอักเสบของถุงน้ำ
- มีอาการปวดเป็นพักๆ หรือในรายที่เป็นมากอาจปวดไม่หาย
- ในรายที่เป็นรุนแรงจะพบนิ้วชี้เท้าถูกเบียดลอยขึ้นไปบนหัวแม่เท้าได้
การรักษาภาวะนิ้วโป้งเท้าเอียง
การรักษาภาวะนิ้วหัวแม่เท้าเอียงขึ้นอยู่กับความรุนแรงของอาการ อาการปวด และแรงกดที่หัวแม่เท้า โดยวิธีรักษามีดังนี้
ปรับเปลี่ยนรองเท้าที่เหมาะสม
การใส่อุปกรณ์เสริม เช่น Hallux valgus splint, Toe separator และ Metatarsal pad
การทานยาลดอาการปวด
การผ่าตัด
เท้าเป็นส่วนสำคัญในการเคลื่อนที่ของเรา ฉะนั้นดูแลเท้าให้ดี เลือกใส่รองเท้าที่เหมาะสม ออกกำลังกายกล้ามเนื้อเท้าให้แข็งแรง เพราะสามารถช่วยป้องกันการเกิดโรคนิ้วโป้งเท้าเอียง และโรคที่เกี่ยวกับกระดูกและกล้ามเนื้ออื่นๆ ที่เท้าได้อีกด้วย
slanted thumb What happened?
slanted thumb Why do they have to tilt? Because feet are an important part of the weight. Both light and heavy-duty movements when walking or running. If the foot or toe is deformed from the original May cause the center of gravity of the body weight that falls on the foot is wrong. causing the use of force from other parts Or the deformation of other parts can replace the movement. Today we will look at if the thumb is deformed. What will happen?
Bunion or Hallux valgus is a deformity of the base of the thumb joint that occurs when the toe is pushed outward. causing the bone at the base of the finger to bulge out When the big toe is out, the medial capsule is stretched, and the toe’s adductor hallucis is shortened. restrained
อ้างอิง
นวพร ชัชวาลพานิชย์. ปัญหาของเท้าส่วนหน้าที่พบบ่อยและแนวทางการแก้ไขด้วยวิธีทาง Pedorthic. เวชศาสตร์ฟื้นฟูสาร 2548; 15(2): 60 – 69.
Justin J. Ray, MD , Andrew J. Friedmann, MD , Andrew E. Hanselman, MD. Hallux Valgus. Foot & Ankle Orthopaedics 2019, Vol. 4(2): 1-12.